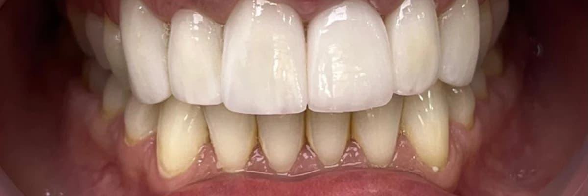
Porselen Lamine Nedir?

Tırnak kalınlığında, istenilen renk ve formda, hastaya özel hazırlanmış porselen yapının özel tekniklerle dişe yapıştırılmasından ibarettir. Bu yapının kalınlığı yaklaşık 0.7 mm olduğundan uygulama yapılacak olan dişin sadece ön yüzünde en az 0.5 mm’lik bir aşındırma yapmak gerekir.
Ön dişlerdeki açıklıklarda, kırıklarda , diş beyazlatmayla açılmayan inatçı renklenmelerde, hafif çapraşıklıklarda kullanılır.
Kapanış bozukluğu, aşırı diş gıcırdatması ,tırnak yeme veya kalem ısırma gibi alışkanlıkları bulunanlarda ve ileri boyutta diş eti hastalığı olanlarda uygulanmaz.
Oldukça hassas bir klinik ve teknik çalışma gerektirir. Dişlerin formu önceden hazırlanan bir mum şablon üzerinde hastayla birlikte görülüp ayrıntılara karar verilebilir. Yaklaşık bir haftada sonuçlanır.
Doğru bir vakaya uygulanmışsa eğer, iyi bir bakım ve özenli kullanımla çok uzun yıllar hizmet verebilir.



