Doktorsitesi.com

Porselen laminate kaplamalar

Uzm. Dr. Dt. Fatih Erkun
Uzm. Dr. Dt. Fatih Erkun
6 Mayıs 2017284 görüntülenme
Randevu Al
Porselen laminate kaplamalar

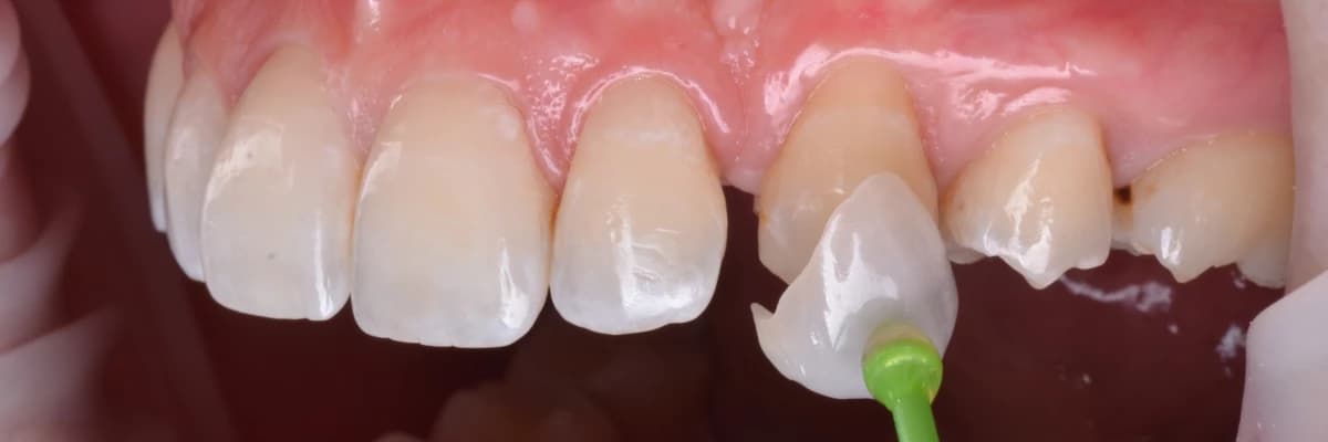
Estetik diş hekimliğinde, mevcut diş yapısının mümkün olduğunca korunması için günden güne bir çok materyal ve yöntem üretilmektedir. Bu tedavi yöntemlerinden biri olan porselen laminate veneer restorasyonlar, diş anomalilerini düzeltebilmek ve diş renklenmelerini maskeleyebilmek amacıyla sıklıkla kullanılmaktadır. Bu restorasyonların uzun süre ağızda başarılı bir şekilde kullanılmasında; laminate veneer yapımında kullanılan materyal çeşidi, diş kesim şekli, yapıştırma prosedürü ve hasta alışkanlıkları önemlidir. Bu nedenle uygun planlama ve laboratuarda hassas çalışma yapılması laminate veneerlerde önemlidir.

Halk arasında yaprak kaplama olarak bilinen porselen laminate restorasyonlar, dişlerin rengine ve şekline bağlı olarak bazen hiç kesim yapmadan hazırlanabilir. Ancak böyle hazırlanan restorasyonlarda bazı kriterlerin sağlanması gerekir. Bunun dışında bu restorasyonlarda en fazla 0,6 mm. kesim yapılır. Bahsedilen bu değerler doğal dişte minimal kesim yapılması demektir. Bu da hastalara zararsız bir tedavi seçeneği sunmaktadır. Bu yüzden son zamanlarda bu tip kaplamalar hastalar tarafından daha çok tercih edilmeye başlanmıştır. 

Laminate restorasyonlarda, tedaviye başlanmadan önce gülüş tasarımı ile planlama yaparak hasta beklentilerine uygun bir prototip hazırlamak, hem hasta hem de hekim için oldukça konforlu bir tedavi seçeneği sunar. Böylece hasta tedaviye başlamadan nasıl bir görünüme sahip olacağını aynaya bakarak direkt olarak görebilir. Böyle bir hazırlık laminate restorasyonlar gibi estetik tedavilerde başarının anahtarıdır.

Neden porselen laminate veneer?

Dişlerinizin renginden, şeklinden ya da boyundan şikayetçi iseniz porselen laminate veneerler mükemmel bir çözümdür. Bunun yanında bu tedavi yöntemi ile dişlerinizin arasındaki boşlukları da kapatabilirsiniz. Renginin değişmemesi ve çok daha uzun ömürlü olması da kompozit (dolgu-bonding) laminate restorasyonlara göre daha avantajlıdır. Bütün bunların ötesinde porselen laminate veneer tedaviniz 1 hafta gibi kısa bir zaman içinde dışardan farkedilmeden tamamlanabilir. Bu yüzden bu tedavi yöntemi bir çok ünlüler ve politikacılar tarafından tercih edilmektedir.

Kaynak: http://e-dergi.atauni.edu.tr/ataunidfd/article/view/5000191736

Etiketler

LamineLaminate kaplamaEstetik dişLaminalarKaplamaLaminant porselenLamina diş kaplamasıLaminate porselenlerLamina tedavisiLaminate veneer hangi durumlarda uygulanırEstetik kaplamaDiş hekimiProtez uzmanı

Yazar Hakkında

Uzm. Dr. Dt. Fatih Erkun

Uzm. Dr. Dt. Fatih Erkun

Uzm.Dr.Dt Fatih Erkun, lisans öncesi öğrenimlerinin ardından Gazi Üniversitesi Diş Hekimliği Fakültesi'nde başladığı eğitimini başarıyla tamamlayarak Diş Hekimi unvanı almıştır. Gazi Üniversitesi Diş Hekimliği Fakültesi Protetik Diş Tedavisi Ana Bilim Dalı'nda başladığı doktora eğitimini de 2016 yılında tamamlamıştır.

Önemli Bilgilendirme

Site içerisinde bulunan bilgiler bilgilendirme amaçlıdır. Bu bilgilendirme kesinlikle hekimin hastasını tıbbi amaçla muayene etmesi veya tanı koyması yerine geçmez.