Doktorsitesi.com

Plevral efüzyon nedir, nasıl belirti verir, nasıl tedavi edilir ?

Op. Dr. Şamil Günay
Op. Dr. Şamil Günay
28 Kasım 20203497 görüntülenme
Randevu Al
Plevral efüzyon nedir, nasıl belirti verir, nasıl tedavi edilir ?

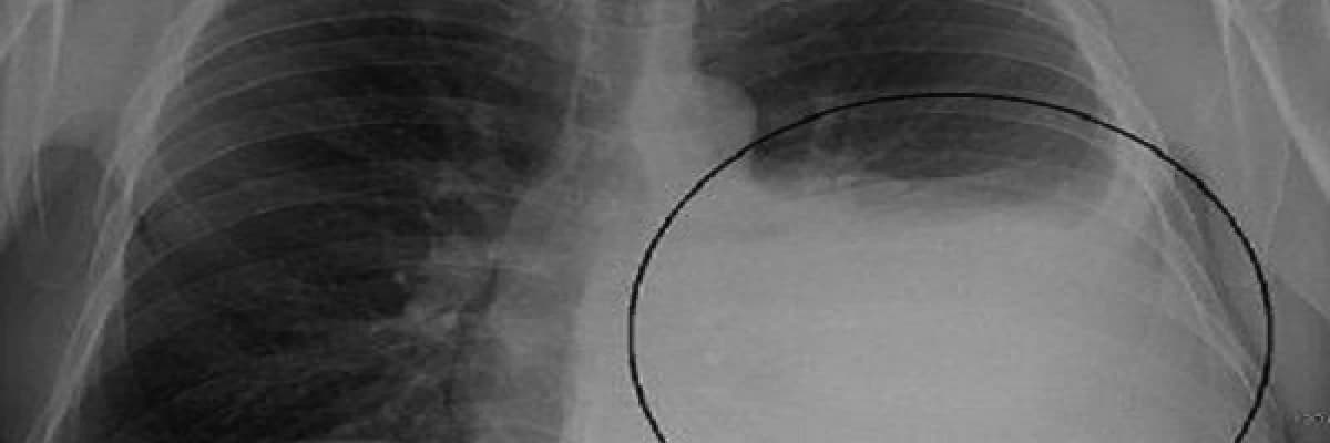
Plevra (akciğer zarı), akciğer ve göğüs boşluğunu örten 2 adet zardır. Akciğer dış yüzünü ve göğüs duvarı iç yüzünü saran bu zarlar arasında kalan boşlukta çeşitli içeriklerde su birikmesine plevral efüzyon denir.

Normalde, bu iki zar arasında çok az (20 ml) sıvı bulunur. Birçok akciğer veya akciğer dışı hastalığa bağlı olarak, ya sıvının salgılanmasının artması veya geri emiliminin azalmasına bağlı olarak bu zarlar arasında sıvı miktarı artar ve plevral efüzyon (plörezi) denilen tablo oluşur.

Az miktarda plevral sıvı belirti vermeyebilir. Plevral efüzyonların %15’i belirti vermez Semptomlardan en sık görülenler göğüs ağrısı, kuru öksürük ve solunum sıkıntısıdır.

Plevral efüzyonun nedenleri nelerdir ve nasıl teşhis edilir?

En sık nedenleri  kalp yetmezliği, siroz, akciğer embolisi (akciğer damarlarının pıhtı ile tıkanması), pnömoni (zatürre), tüberküloz (verem), virüs enfeksiyonları, akciğer veya akciğer zarının kanseridir. Ülkemizde en sık sebeplerden birincisi tüberküloz iken diğerleri kanser, kalp yetmezliği ve enfeksiyonlardır.

Akciğer grafileri ve Akciğer tomografisi ile plevral efüzyonlar görülür. Tanısı torasentez ile (kaburgalar arasından iğne ile sıvı alınması ) konulur. Torasentez ile tanı konulamazsa cerrahi yöntemler ile (kapalı plevra biyopsisi veya kapalı/açık akciğer ameliyatı) tanı konulur.

Efüzyon nasıl tedavi edilir?

Plevral efüzyonun tedavisi, efüzyona sebep olan hastalığa göre değişir.

İyi huylu  plevral efüzyonlar çoğunlukla vücudun genelini etkileyen çeşitli hastalıklara bağlı olarak ortaya çıktığından, tedavisi esas hastalığı tedavi etmektir. Kalp yetmezliğinde idrar söktürücü ilaç kullanımı, plevral efüzyonun azalmasını sağlayabilir. Eğer biriken su, nefes darlığına yol açacak kadar fazla ise çeşitli yöntemler ile bu suyu boşaltmak mümkündür. Zatürre nedeniyle biriken su, zatürrenin antibiyotik ile tedavi edilmesi sonrasında giderek azalır ve tamamen iyileşir.

Bazen buradaki su iltihap kapar ve irin bağlar. Bu durumda bu iltihabı boşaltmak, antibiyotik başlamak ve burayı tüp aracılığıyla antibiyotikli sıvılarla yıkamak gerekebilir.

Herhangi bir kanserin akciğer zarına yayılması sonucu ortaya çıka  plevral efüzyonların tedavisinde bazı zorluklar vardır. Bu hastalarda yaşam beklentisi genellikle kısadır. Suyu boşaltmak ve yapıştırma tedavisi ile (plörodez) tekrar su birikmesini önlemek hedeflenir.

Etiketler

Akciğer kanseri cerrahisiAkciğer kanseri risk faktörleriNefes zorluğuNefes alma bozukluğuNefes alma problemleriNefes alma problemiNefes alma zorluğuNefes pratiğiNefes almaNefes almakPlevraPlevra zarıPlevra hastalıkları nedirPlevra zarının yapıştırılmasıNefes çalışmasıNefes dolaşımıNefes alma şekilleriNefes daralması psikolojikNefes darlığı boğazda tıkanma hissiPlevral sıvıNefes daralmasıPlevral effüzyonPlevral kalınlaşmaPlevral metastaz uyumluPlevral efüzyonPlevral efüsyonPlevro parankimal sekelPlevra metastazıPlevral sıvı incelemesiPlevral drenajPlevral çekintiPlevral difüz kalınlaşmaNefes darlığNefes darşığıNefes darlamasıNefes darlşıgıAkciğer sıvısıNefes darlığıuNefes darlıüıNefes darlmasıNefes darlığı sebebiNefes darlığı hissetmeNefes darlığı sebepleriNefes darlığı ve sancıNefes darligından ameliyat olduktan sonra sonuc alamamak ne yNefes darlığı ve çarpıntı stresten kaynaklabilir mi?Nefes darlığı ve çarpıntıNefes darligi ve çarpıntı için ne yapılmalıNefes darlığı ve öksürükNefes darlığı medikal tedaviNefes darlığın psikolojikNefes darlığı halsizlikNefes darlığı medikal tedavisiNefes darlığı sebepleri ve tedavisiNefes darlığı ve çarpıntı sebepleriNefes darlığı tanı ve tedavisiNefes darlığı kalp krizi sebepleriNefes darlığı sebepleri nelerdirNefes darlığı sıkıntısıNefes darlığı boğaz ağrısı

Yazar Hakkında

Op. Dr. Şamil Günay

Op. Dr. Şamil Günay

Op. Dr. Şamil Günay, lisans öncesi öğrenimlerinin ardından 1993 yılında Akdeniz Üniversitesi Tıp Fakültesi'nde başladığı tıp eğitimini 2001 yılında başarıyla tamamlayarak Tıp Doktoru unvanı almıştır. İhtisasını ise, 2003 - 2009 yılları arasında Pamukkale Üniversitesi Tıp Fakültesi'nde tamamlayarak Göğüs Cerrahisi uzmanı olmuştur.

Önemli Bilgilendirme

Site içerisinde bulunan bilgiler bilgilendirme amaçlıdır. Bu bilgilendirme kesinlikle hekimin hastasını tıbbi amaçla muayene etmesi veya tanı koyması yerine geçmez.