Dişeti kanaması

Dişlerimiz çürüdüğünde sıcak soğuk hassasiyeti ile başlayan ve gece uyutmayan ağrılara kadar varan birçok rahatsızlık hissederiz. Dişte oluşan enfeksiyon işte bu kadar açık bir şekilde kendini belli eder. Oysa dişeti tıpkı karaciğer rahatsızlığı gibi sinsidir, hiçbir ağrı sızı yaratmadan hızla ilerler. Hastalığın son fazında dişlerimiz sallanmaya başlayana kadar farkına varmamız nerede ise imkansızdır. Doktor arayışına girdiğimizde iş işten geçmiş olur. Buradan sonra bu dişler için yapılacak hiçbir şey kalmamıştır desek pek de yanlış olmaz.
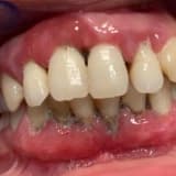
Kanama, kızarıklık ve şişlik dişeti hastalığının çarpıcı belirtileridir. Dişeti hastalığında; çene kemiğinin erimesi sonucu dişlerin sallanmasına kadar geçen süreçte en rahatsız edici dolayısıyla da en dikkat çekici belirti kanamadır. Bu nedenle de dişeti kanaması çok ciddiye alınmalı ve görüldüğü anda takip edilerek doktora gidilmelidir.
Opr.Dr. Demet CAN
Periodontolog
Dişeti Hastalıkları ve Cerrahisi Uzmanı






