Boyun Düzleşmesi Hastalığı

Boyun düzleşmesi son zamanlarda özellikle genç nüfusta artış gösteren fiziksel bir rahatsızlıktır. Sonradan oluşur ve tedavisi biraz sabır gerektirir.
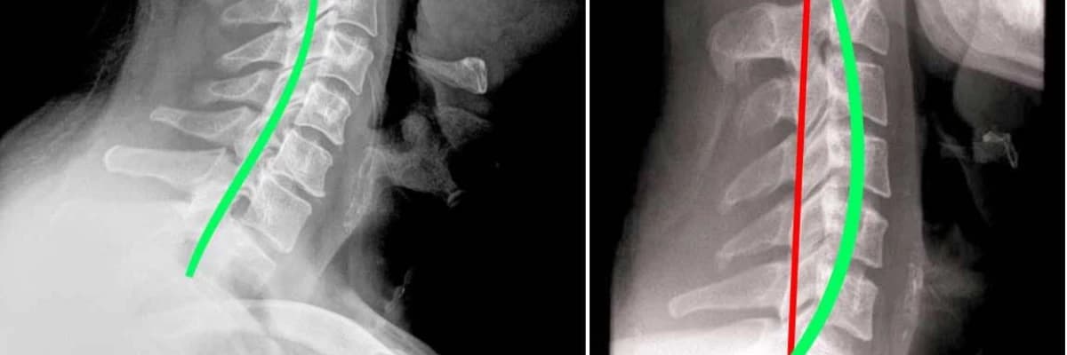
Boyun düzleşmesi; şekli ters C’ye benzeyen omurganın (resimdeki soldaki şekil) çeşitli nedenlerden dolayı I şeklini (resimdeki sağdaki şekil) almasıdır. Genelde boyun kaslarındaki spazm ve gerginlik sonrası oluşan bir durumdur. Uygun yastık kullanmama, uzun süre mobil telefon benzeri teknolojik aletler kullanma ve uzun süreler bilgisayara ekranına bakarak çalışma sonrası gelişir.
Boyun düzleşmesinin belirtileri nelerdir?
1) Boyun ağrısı. Bu ağrı bazen baş arka kısmına ve omuzlara doğru yayılır.
2) Boyun düzleşince beyine giden bazı damarlar gerilir ve beyine yeterince kan gidemez, kişide baş ağrısı, baş dönmesi, bulantı, unutkanlık, daha ileri safhalarda dengesizlik, uyku bozuklukları da olabilmektedir.
Eğer boyun düzleşmesi tedavi edilmezse ilerleyen zamanlarda nörolojik sorunlar doğurabilmektedir. Omurganın şekli daha da bozulacağından bazen omurlar arasından çıkan sinirlere basınç yapılması neticesinde sağ veya sol kol ve bazen her iki kolda ağrı meydana gelir.Daha da ileri zamanlarda boyun fıtığı gelişebilir.
Boyun düzleşmesinin tedavisi nasıl olur?
Tedavide öncelikle bu duruma sebebiyet veren uygulamalardan kaçınmak gerekir.
- Masa başında oturan kişiler; mutlaka dik oturmaya gayret göstermelidir.
- Uzun süre oturarak çalışan kişiler oturduğu yerde mutlaka boyun egzersizleri yapmalıdır.
- Bilgisayar monitörün üst kenarı kaşınızın hizasında olsun; böylece öne doğru eğilmek ya da yukarı bakmak için boyun kaslarınızı zorlanmazsınız.
- Mobil cihazlarla çok zaman geçirmemek gerekir.
- Ortopedik yastık kullanmak gerekir.
Tedavide kas gevşetici tablet ve kremler faydalı olur. Bu ilaçlar ile beraber boyun egzersizi yapmak gerekir. Bunlarla düzelme sağlanmaz ise Fizik tedavi uygulanması gerekir.
Boyun düzleşmesi ileride boyun fıtığına dönüşebilecek bir hastalık olması nedeniyle ciddiye alınmalı ve sabırla tedavi edilmelidir.


